
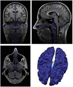
Este nuevo procedimiento ubica el punto epiléptico focalizado, área del cerebro donde se activa la descarga neuronal que ocasiona la enfermedad, lo que permitirá hacer un diagnóstico más rápido y practicar una cirugía más segura.
Al mirar en detalle lo que ocurre en el encéfalo humano, los puntos del cerebro donde se origina la epilepsia se identificarán con mayor certeza y rapidez”. Así lo asegura Jorge Iván Padilla Buriticá, magíster en Automatización de la Universidad Nacional de Colombia (UNAL) Sede Manizales, quien en su investigación Localización de focos epilépticos mediante modelos paramétricos señala que el desarrollo del modelo permite mayor realismo y cercanía del cerebro humano y sus características.
“Nuestra técnica reduce los cálculos, al tiempo que integra la información obtenida en otros modelos, lo cual le facilita al personal capacitado en neurología comparar datos”, sostiene.
El proceso se adelanta mediante un software en el que se incluyen los registros médicos existentes sobre los pacientes y se determina con mayor precisión la localización de la zona a eliminar.
Medicamentos y cirugía
La epilepsia está asociada con descargas eléctricas, generalizadas o focalizadas, que ocurren en uno de los centros nerviosos que constituyen el encéfalo. Es considerada como una enfermedad grave con altas contraindicaciones. Las personas que la padecen presentan señales de alerta como convulsiones, contracciones musculares y dificultad para respirar antes de tener un ataque.
Aunque la enfermedad se trata con medicamentos, cuando estos no son efectivos se realiza una cirugía en el cerebro, la cual, por medio de una malla con electrodos, permite identificar con exactitud la fuente localizada epileptogénica, es decir, el área a extirpar, explica el investigador.
De esta manera se reduce el tamaño del fragmento que se va a extraer, evitando que se elimine una porción más amplia de lo necesario. Así, se minimiza la posibilidad de que el individuo presente efectos secundarios, como disminución de la memoria a corto plazo, problemas en el habla y limitación en los movimientos.
“Durante el proceso implementamos una técnica conocida como ‘elementos finitos de frontera’ para obtener una estructura del cerebro similar a la lograda durante la resonancia magnética que se le practica a cada paciente”, argumenta el magíster.
“Más adelante analizamos técnicas estáticas, y a partir del comportamiento que presentaban, creamos otras que varían en el tiempo y tienen en cuenta la dinámica de las señales del electroencefalograma”, detalla.
De fácil lectura médica
El procedimiento está diseñado para que el especialista no necesite ajustar parámetros relacionados con la ingeniería, solo debe alimentar el software con señales reales y datos del paciente, que luego son mapeados e incluidos en la resonancia magnética. Así, resulta una medición más fácil de interpretar por el médico.
Según el investigador, “la verificación se adelanta simulando la actividad dentro del cerebro, lo cual ofrece confiabilidad y efectividad en el método para determinar exactamente el punto que se está activando”.
La validez de la prueba también ha tenido resultados positivos en pacientes que han pasado por procesos de cirugía. Al aplicarla, el software llega directamente a la zona ya operada.
El área del cerebro estimada a partir de las señales reales se ubica exactamente en la misma zona que los médicos eliminaron. Esta verificación se adelanta solo con pacientes que han tenido cirugías exitosas.
Para el investigador Padilla, “aunque las propuestas existentes presentan buenos resultados, requieren de una gran cantidad de cálculos y suposiciones que no siempre son fáciles de operar. Nosotros intentamos resolver de forma más sencilla y confiable la localización de los focos epilépticos en las condiciones particulares del Neurocentro”.
Esta técnica también se puede implementar en dificultades médicas reportadas durante la detección de otras enfermedades cerebrales como párkinson, apnea del sueño, déficit de atención, drogadicción o para el control de dispositivos a partir de señales cerebrales.
marzo 20/2021 (Dicyt)
Epilepsia, Detección, Método no invasivo
Enviar un comentario nuevo